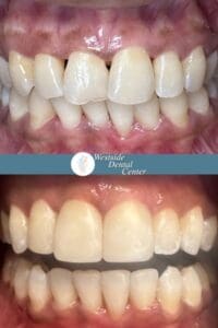
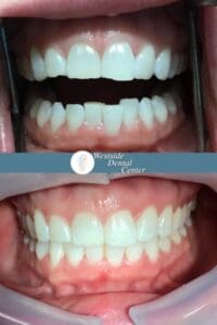
Everyone wants a beautiful smile for themselves or their loved ones. Feeling confident in your smile can also boost your self-confidence. Our highly experienced cosmetic dentist, Dr. Uttma Dham, is a preferred Invisalign provider in Plantation, FL. She offers complete dental services under one roof.
Dr. Dham and her caring and friendly dental care team provide you with compassionate, high-quality dentistry. Invisalign uses clear aligners can successfully address a range of orthodontic concerns relatively quickly. Invisalign can help you if you have:
- Gaps between your teeth
- Uneven teeth
- Crooked teeth
- Missing teeth
- Misaligned teeth
- Overbite
- Underbite
- Crowded teeth
- TMJ Disorder
Benefits of Choosing Invisalign
Clear aligners provide you with a perfectly aligned teeth and confident smile. But getting clear braces from our Plantation dental office also offers many other advantages. Invisalign can help you:
- Boost your self-confidence. Most of our patients have experienced a significant boost in their self-confidence after the treatment process. Increasing your self-confidence can help you in life, and improve your relationships. All with the help of your new amazing confidence.
- Enhance your jaw performance. You will experience less resistance on your jaw with perfectly-aligned teeth. Invisalign will also potentially save you from issues like TMJ/TMD and sleep apnea.
- You can keep it a secret. Invisalign aligners are virtually invisible, so you can keep your orthodontic treatment as your little secret. The aligners are clear see-through plastic trays. Many teens and adults love that the clear aligners are more discreet than metal braces.
- Protect your teeth structure. Clear aligners will keep your tooth structure intact. Wearing aligners can save your teeth from chipping, notching at the gum line, and tooth fractures.
- Save your gums. Properly spaced and aligned teeth can help prevent gum disease and improve your oral hygiene. Periodontal disease starts in your mouth, leading to major health risks, including heart disease and strokes. Straight teeth are easier to clean.
- Maintain a proper bite. Properly-aligned teeth will help strengthen your jaw and increase your bite structure. This will ultimately reward you with extensive health benefits. You can bite and chew without pain.
Invisalign clear aligners improve your overall health and provide you with long-lasting, straighter teeth! Schedule your completely free, no obligation, Invisalign consultation to get new perfectly aligned teeth.
Request a Free Invisalign Consultation
Reasons for Choosing Invisalign Clear Aligners
Many people choose clear aligner systems to straighten their teeth. These
- Clear aligners are unnoticeable. Invisalign clear aligners are almost invisible, appearing as the color of your teeth. They allow you to straighten your teeth without anyone ever knowing!
- They are smooth and comfortable. Invisalign clear aligners are smooth because they consist of patented medical-grade polymer. Placing them over your teeth provides relief from gum irritation.
- Easy to wear and clean. You can remove your Invisalign clear aligners anytime you want to easily clean them. Remember to place them in your protective case when you are not wearing them.
- Enjoy your favorite food with clear aligners. Since the clear aligners are easily removable, you are free to enjoy all your favorite foods and drinks. You will not need to fear damaging your aligners if you remove them before every meal.
Patient Review
Enjoy All Your Favorite Activities With Invisalign
Leading dentists and orthodontists consider clear aligners as the best choice to straighten your teeth. The system offers the same advantages as traditional metal braces, plus the added benefit of nearly invisible orthodontic correction. Many pros and cons exist for Invisalign and traditional metal braces, but most of the pros are with Invisalign.
- You can enjoy swimming: You can put them into their custom containers while swimming and wear them later. Clear aligners never get in your way.
- You can play your favorite sports: With traditional metal braces, you need to wear a mouthguard while playing any sport. However, you can enjoy any sport while taking Invisalign clear aligners treatment. You can remove the aligners before you play sports.
- You can enjoy hot drinks: We recommend that you remove your aligners before you have coffee or tea. With traditional metal braces, the metal brackets can get in the way while you are trying to enjoy slowly sipping a hot drink. However, Invisalign trays consist of smooth BPA-free plastic, and they don’t get in the way when you remove them.
- You can eat all your favorite foods: Clear aligners are removable, so you can easily remove them before eating. You just need to brush and floss after eating and put them back in. None of our patients will have to worry about food sticking to the metal brackets.
Our Clear Aligners Treatment Process
To begin treatment, our cosmetic dentist in Plantation will check if you are a candidate for Invisalign on your first visit to our dental office. She will evaluate your oral health and determine the best option for your unique mouth.
Next, Dr. Dham will create a 3D model of your teeth and gums. She uses this model to create a “blueprint” for your custom series of aligners. The number of aligners will vary from patient to patient. Dr. Dham will determine how many you need based on your orthodontic needs.
You will wear each set of aligners in approximately 2-week intervals. Each consecutive set of aligners will gradually shift your teeth further into proper alignment. Some patients notice a little discomfort when they begin wearing their clear aligners. But that discomfort is temporary, and will be minimal after your mouth adjusts to wearing the aligners regularly.
Treatment times will vary, but most patients wear their Invisalign aligners for up to two years. Dr. Dham will discuss the exact duration of the treatment plan, your dental insurance coverage, and more with you.
Learn more about Invisalign by watching the Post-Op Instruction video:
Frequently Asked Questions About Invisalign
Am I a good candidate for Invisalign?
Most teens and adults with common orthodontic issues are great candidates! Invisalign can successfully treat gaps, crowding, overbites, underbites, and crooked teeth. During your free consultation, Dr. Dham will check your teeth and gums to make sure your mouth is healthy and confirm that Invisalign is the right fit for your specific smile goals.
How long does Invisalign treatment take?
The total time varies for each person, depending on how much your teeth need to move. Most of our patients complete their treatment in about 12 to 18 months, but some cases may take up to two years. Dr. Dham will give you a personalized timeline after creating your 3D treatment plan, so you’ll know exactly what to expect from day one.
Will the aligners be uncomfortable to wear?
You might feel some slight pressure or tenderness for the first day or two with each new set of aligners. This is completely normal. It’s a sign they are working to gently shift your teeth! This temporary discomfort is usually much less than with traditional braces and fades quickly as your mouth adjusts.
How many hours a day do I need to wear my aligners?
For the best results, you should wear your clear aligners for 20 to 22 hours every day. You only take them out to eat, drink anything besides water, and to brush and floss your teeth. Staying consistent with wear time is the key to keeping your treatment on track and finishing on schedule.
How do I clean my Invisalign aligners?
It’s easy! Simply brush them gently with a soft toothbrush and clear, antibacterial soap or the Invisalign cleaning crystals we recommend. Avoid using toothpaste, as it can be abrasive and scratch the clear plastic. Always rinse them with cool water before putting them back in your mouth.
Will Invisalign affect my speech?
When you first start treatment, you might notice a slight lisp for a day or two as your tongue gets used to the aligners. This adjustment period is very short. Almost all of our patients find that their speech returns completely to normal once they are accustomed to wearing them.
How is Invisalign different from traditional metal braces?
The biggest difference is that Invisalign aligners are clear and removable. This means:
- They are virtually invisible when you smile.
- You can eat all your favorite foods without restrictions by taking them out.
- Your oral hygiene routine is simpler because all you have to do is brush and floss normally.
- You typically need fewer in-office appointments for adjustments.
What happens after my Invisalign treatment is finished?
To keep your beautiful new smile in place, you will get a custom retainer. Teeth have a natural tendency to shift, so wearing your retainer as directed by Dr. Dham is essential for maintaining your results long-term. We’ll provide you with all the instructions and support you need for this final phase.
Can I get Invisalign if I have dental implants, crowns, or other restorations?
Yes, you often can! Having dental work like dental implants, crowns, or bridges doesn’t automatically disqualify you from Invisalign. During your free consultation, Dr. Dham will carefully examine your existing restorations and your overall bite. She will create a customized treatment plan that carefully moves your natural teeth while protecting and working around your dental work. In fact, properly aligning your teeth can help improve the fit and longevity of your crowns and bridges, and ensure your bite is balanced and healthy.
Ready for a Straighter Smile in Plantation, FL?
Stop searching for Invisalign near you because you’ve found your local expert right here. Dr. Uttma Dham at Westside Dental Center is your trusted Invisalign provider in Plantation.
Take the first step toward a confident, healthy smile with a FREE, no-obligation consultation. In just one visit, we’ll create a personalized 3D plan to show you what your new smile could look like.
Call Westside Dental Center now at to book your free Invisalign consult.
- Free Consultation & 3D Smile Preview
- Expert Care from a Preferred Invisalign Provider
- Treatment for Adults & Teens
- Convenient Plantation Location
Your journey to a smile you love starts with one call!













